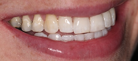
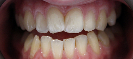
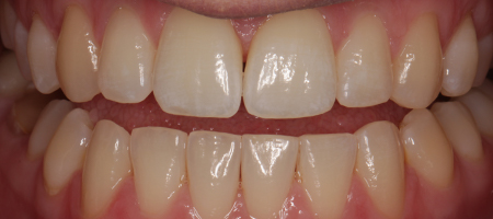
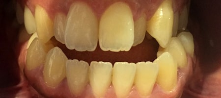
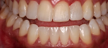
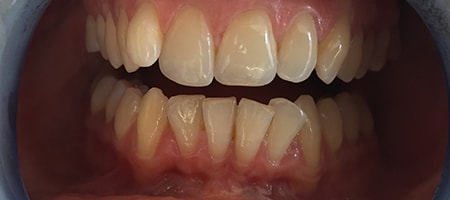
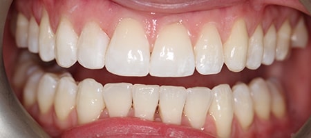
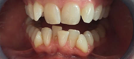
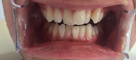
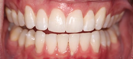
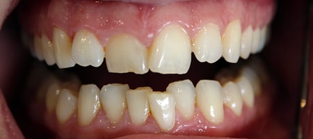
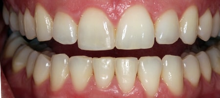
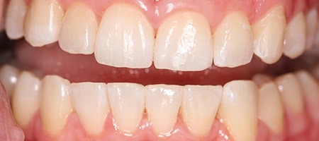
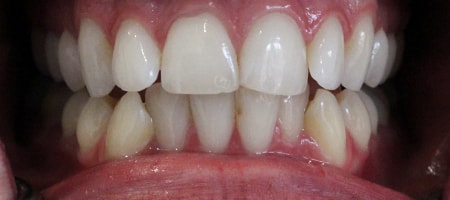
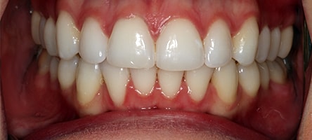
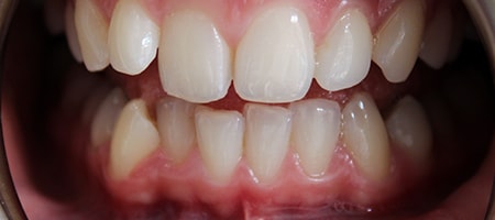
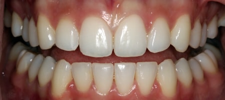
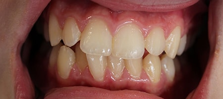
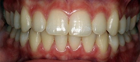
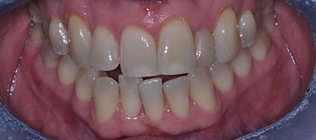
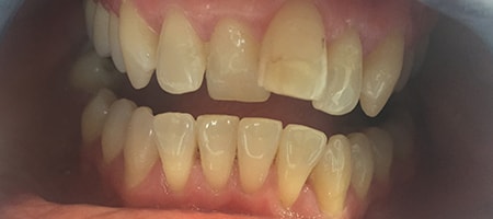
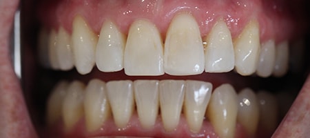
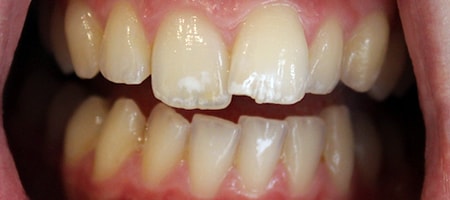
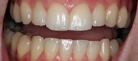
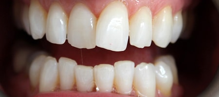
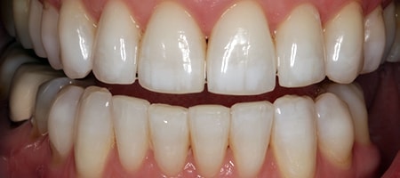
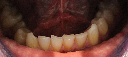
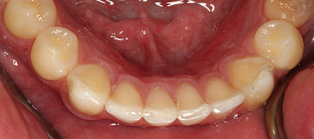
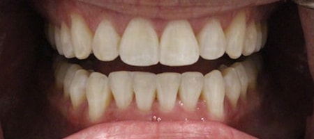
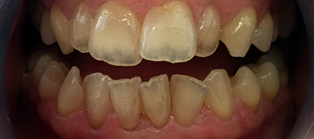
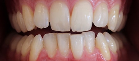
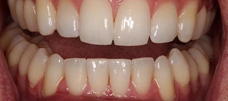
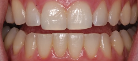
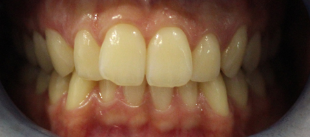
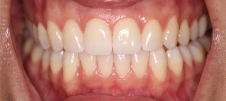
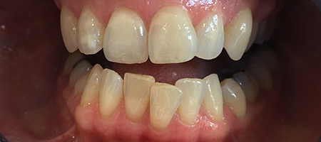
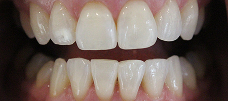
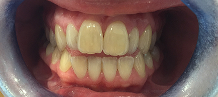
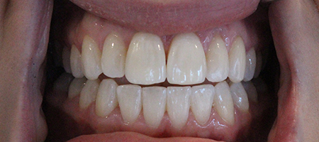
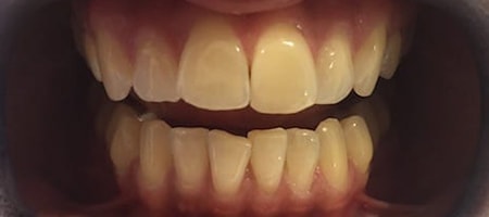
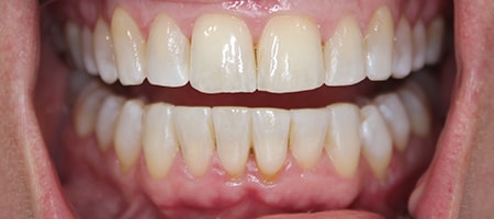
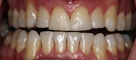
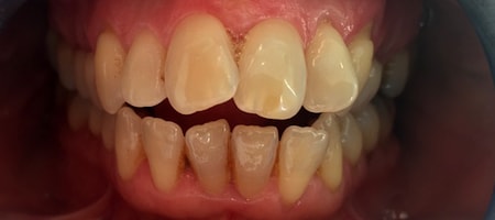
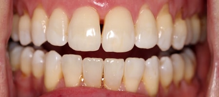
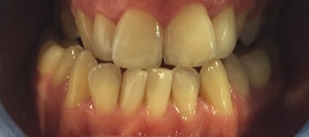
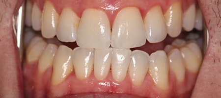
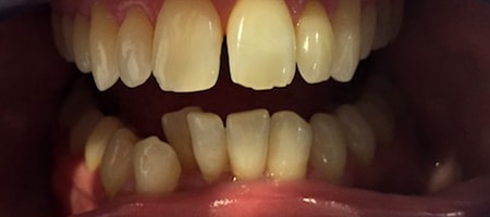
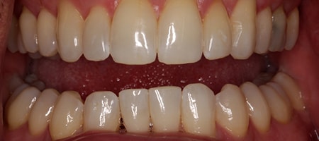
Before & After
Braces Smile Gallery
Windsor
As Featured On
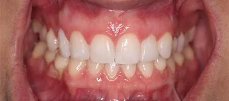
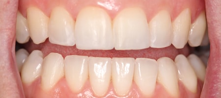
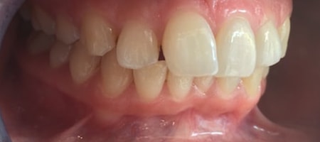
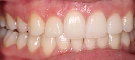
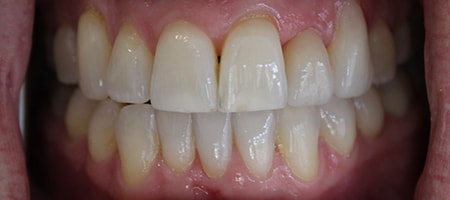
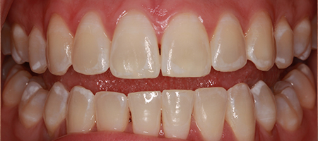
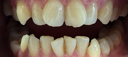
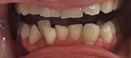
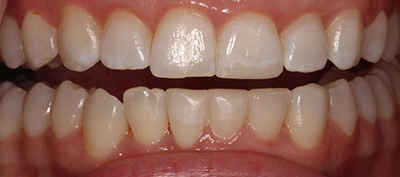
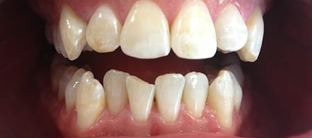
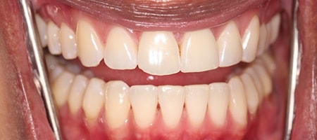
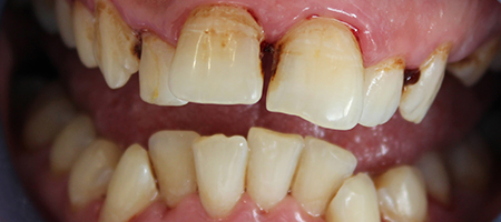
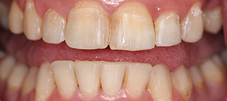
Before and After Braces Treatment
A picture paints a thousand words. Below are examples of smile makeover examples from simply whitening teeth, using Invisalign clear braces or full smile makeovers using veneers, crowns and implants.
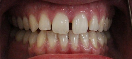
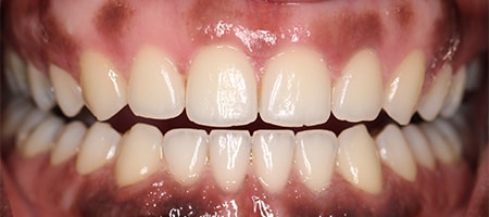
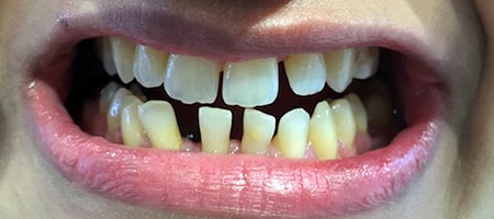
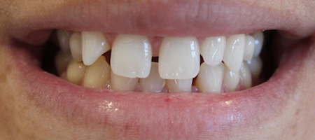
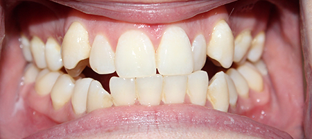
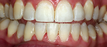
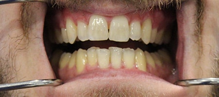
Spacing or Gaps
























Crossbite




Overbite




Open Bite








Under Bite




















































































































