Invisalign
WINDSOR
No. 1 Leading Invisalign Providers in the UK
Book your complimentary consultation today
What are Invisalign Braces?
Invisalign are discreet, invisible braces that will quickly straighten your teeth without anyone knowing you are having treatment!
These clear braces and the flexibility that they offer mean that many patients are opting for Invisalign throughout Maidenhead, Slough, Egham and beyond.

Our packages In windsor
On average, the full Invisalign treatment will cost about £3,495, which can be paid on a monthly basis.
A free initial consultation
An unlimited set of aligners
A free 3D scan
3 sets of retainers
Free Enlighten whitening
Tooth Sculpting
Invisalign Full
(Comprehensive)
Free Initial Consultation
Unlimited Aligners
Free 3D iTero scan worth £150
3 sets of Vivera retainers worth £475
Free teeth whitening worth £355
Free tooth sculpting worth £380 (per tooth)
Invisalign® Lite
(14 aligners)
Free Initial Consultation
14 aligners + 1 set of refinements
Free 3D iTero scan worth £150
3 sets of Vivera retainers worth £475
Free teeth whitening worth £355
Free tooth sculpting worth £380 (per tooth)
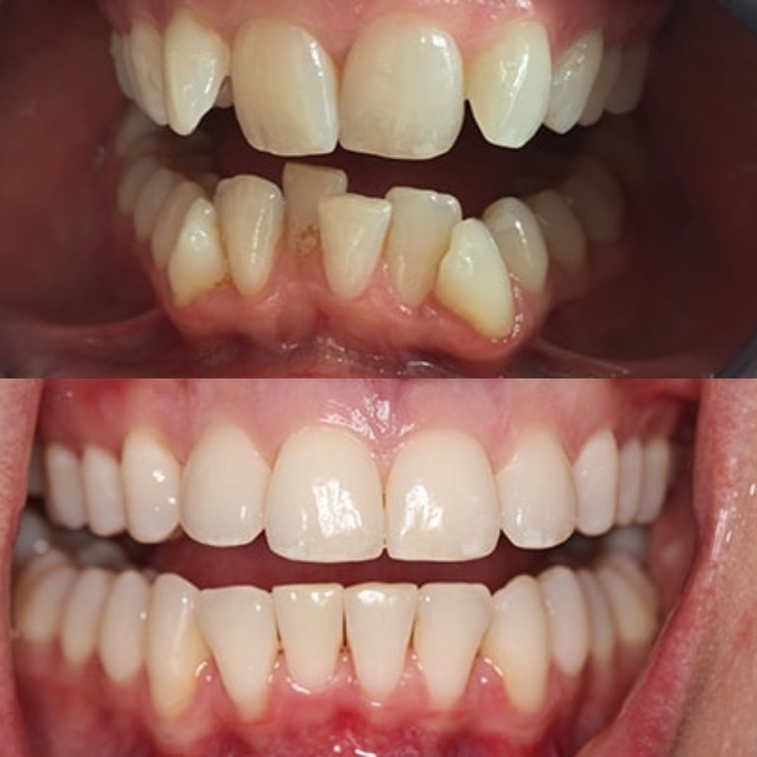
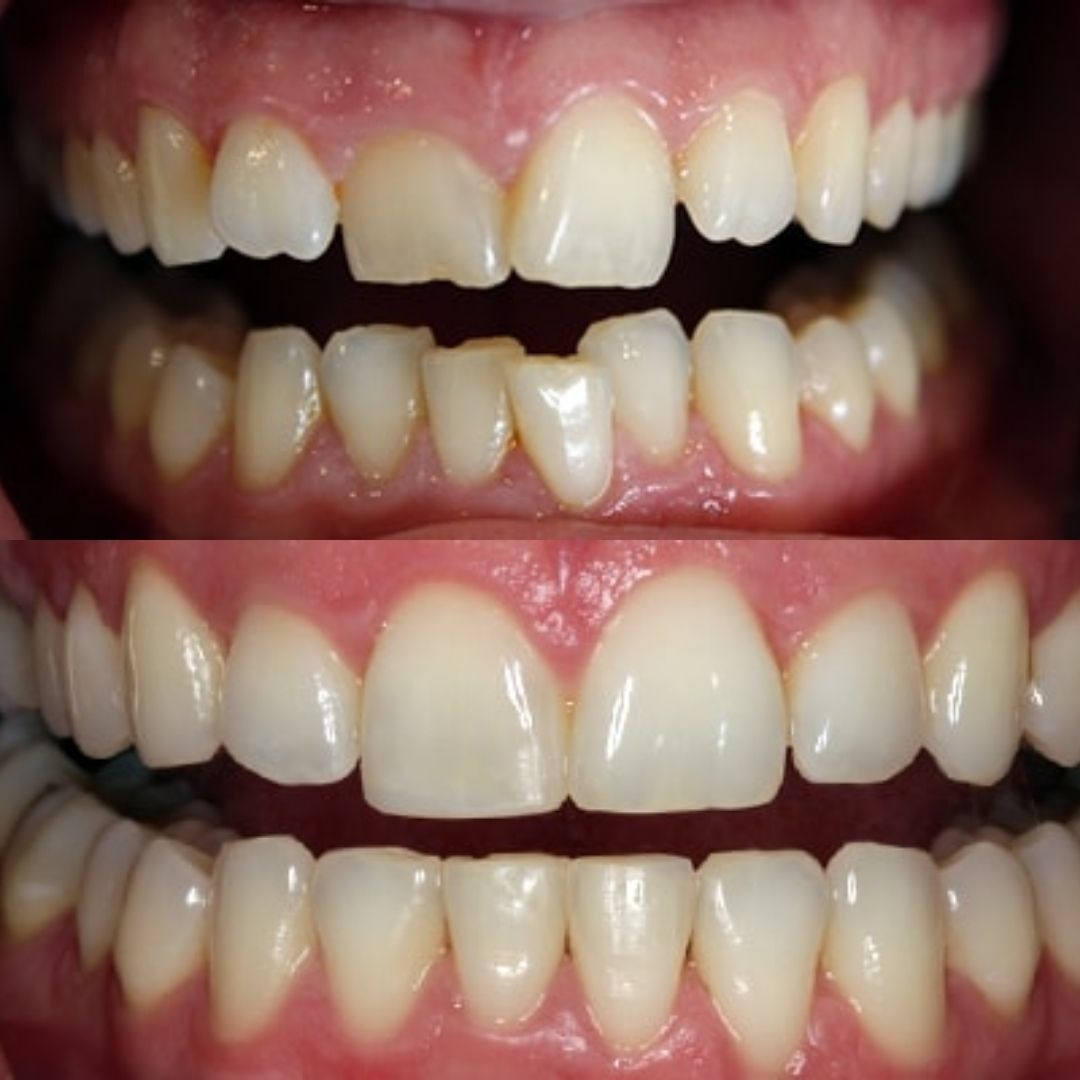
Before and After Invisalign
benefits of invisalign aligners with smile rooms Windsor
What are the teeth straightening options at Smile Rooms Windsor
There are many reasons why patients throughout Windsor, Maidenhead, Slough, Eton and Berkshire are having teeth straightened at Smile Rooms Windsor.









